As someone with scoliosis, we are sure you know how much it can interfere with daily tasks such as standing, sitting, walking, or even breathing. Finding relief from scoliosis can be a daunting journey with limited treatment options.
Traditionally, scoliosis treatments consist of pain management pills with terrible side effects or surgeries with grueling recovery periods. However, at Liebman Wellness Center in Marlton, we provide an effective scoliosis relief protocol that is absent of addictive medication and invasive procedures. Our protocol takes a holistic approach to scoliosis relief through the utilization of alternative therapies such as:
Take the necessary steps towards scoliosis relief and improving your quality of life with an appointment at our Marlton practice. Don't wait! Begin our comprehensive patient care for your scoliosis as soon as possible. Contact us at (856) 596-3000 to schedule your initial appointment and assessment.
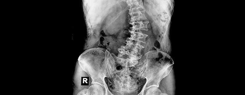
Living with scoliosis can have a tremendous impact on your life, from your emotional state to your ability to perform mundane tasks. Scoliosis is one condition that should be actively managed, or it may worsen if left untreated.
 
            So, what exactly can happen if scoliosis goes untreated?
It's vital to address scoliosis promptly to prevent potential issues. Our chiropractors can assess your scoliosis and develop a tailored treatment plan that may include chiropractic, physical therapy modalities, and lifestyle modifications. Begin proper care for your scoliosis by scheduling an appointment today.
 
        I’m always amazed at the great experience that I have with DR Jesse. He notices things without me telling him. I’ve had Frozen shoulder 2 times in two years and he helps me with my after care to try and keep it from locking back up. His very knowledgeable in the chiropractic side. All the office staff is super friendly and try to work you in when needed.
Cheria B.Marlton, New Jersey 
        Jesse Liebman is a miracle worker. I had terrible sciatica pain, and after a few visits I was able to go on vacation. Walked to many places with no pain at all
Sherri R.Marlton, New Jersey 
        Dr Jess & Dr Derick are great I had a baker cyst on the back of my leg and the drs. used laser and did some adjustments to me and it no longer hurts any more. Thank you
Michael F.Marlton, New Jersey 
        Can't thank Liebman Wellness Center enough. Dr. Derek and his team have put together a game plan and my road to recovery is monitored and discussed at each appointment. I have total confidence with the tremendous care I am receiving.
Christopher B.Marlton, New Jersey 
        Dr. Jesse Liebman is the All-Time Best!!! Very results oriented!! Been going there (seems like) forever. Would never change! Always great experiences! The staff is warm, friendly & above all professional! Thank you to all!
Ronni C.Marlton, New Jersey* Disclaimer: Results are not guaranteed and may vary from person to person.